Online Course: Marsupialization / Decompression Technique for Management of Maxillary Odontogenic KeratoCyst
$50.00
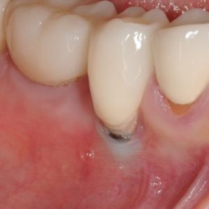
In this presentation, Dr. H. Ryan Kazemi will discuss etiologies for implant failure due to peri-implantitis, its preventive measures, and what treatment modalities work best. He will also describe a new classification to help clinicians choose the optimal treatment approach.




