Single Stage Sinus Lift and Dental Implant
This case report discusses surgical and prosthetic staging approach for replacement of an upper molar while addressing bone height challenges via sinus lift procedure.
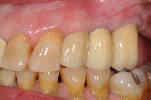
Sinus Lift and Three Dental Implants
A Staged extraction, sinus lift bone graft, and three dental implants for replacement of teeth in a partially edentulous patient.
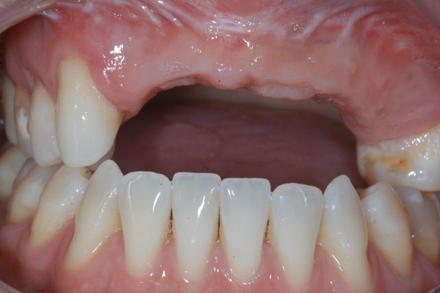
Maxillary Bone Augmentation for Dental Implants
Staged multiple bone grafting and dental implant replacement in a patient with missing upper anterior teeth.