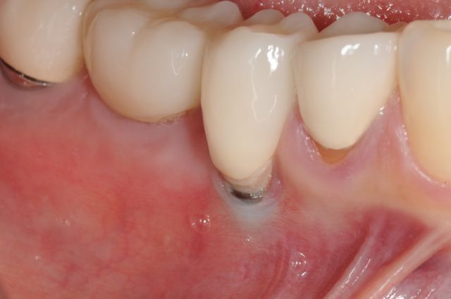
Dental Implants- Single Tooth Replacement
Case reports for replacement of single missing teeth
Dental Implants in the Aesthetic Zone
Case reports for implant replacement of missing teeth in the aesthetic zone
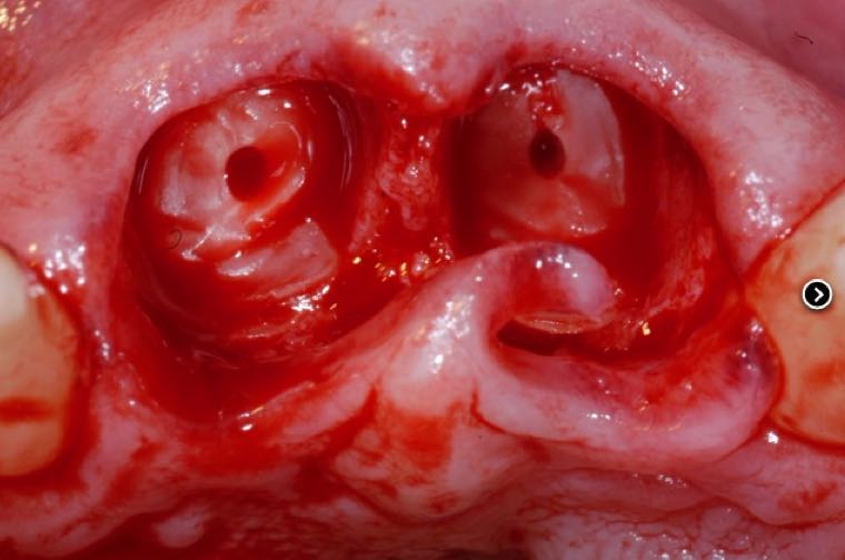
Dental Implants- Multiple Teeth Replacement
Case reports for implant replacement of multiple missing teeth
Dental Implants- Full Arch
Case reports for implant replacement of complete missing teeth
Dental Implants - Complications and Unique Cases
Case reports for unique dental implant treatments
Bone Grafting for Dental Implants
Case reports for bone grafting to develop sites for dental implants