Logo FacialArt
Call Now
or

Online Inquiry
  • 240.802.2874
  • Login
    Sign Up
  • About
  • Programs
  • Library
  • Blog
  • Contact Us
  • Login

240.802.2874

  1. Home
  2. Library
  3. Case Reports
  4. Oral Pathology

Library

Oral Pathology

Dentigerous Cyst

This case report reviews the management of a large cystic lesion in the mandible that was discovered during routine exam, including diagnosis, treatment rational, and outcome.
See Case Report

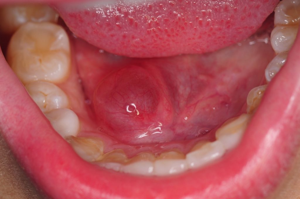
Marsupialization of Ranula- Floor of Mouth

This case report discussed management of floor of mouth ranula using marsupialization technique
See Case Report


4825 Bethesda Ave., Suite 302
Bethesda, MD 20814
[email protected]
Bethesda, 240.802.2874
  • About
  • Programs
  • Library
  • Blog
  • Contact Us
  • Login
    Follow us
© 2026, Facialart Dental Forum, All Rights Reserved.
Powered by Swapps
WordPress as a Service WordPress hosting WordPress themes for dentists